
Nye svar om nefrokalsinose
Over 20 år etter at nefrokalsinose først ble beskrevet hos laks, vet man fremdeles for lite både om omfanget og om risikofaktorer som utvikler tilstanden. Christine Klykkens doktorgrad om nefrokalsinose hos oppdrettslaks har gitt noen svar.
- Nefrokalsinose hos oppdrettslaks påvirker fiskehelse og fiskevelferd negativt, sier Klykken. – Det er avgjørende at vi klarer å identifisere årsaksfaktorer slik at vi kan sette i verk forebyggende tiltak.
I uke 45 forsvarte Christine Klykken, som til vanlig jobber i FoU-avdelingen i Aqua Kompetanse, doktoravhandlingen sin ved Institutt for biologi ved NTNU. Doktorgradsprosjektet var en Nærings-PhD som var organisert som et samarbeid mellom Aqua Kompetanse og NTNU, og den er en del av Aqua Kompetanses satsing på FoU.
- God helse og velferd hos oppdrettsfisk er avgjørende for videre vekst og utvikling av oppdrettsnæringen i Norge og utlandet, sier Klykken. – Hvis vi kan finne ut hvilke tiltak vi kan gjøre for å forebygge eller reversere utviklingen av nefrokalsinose, vil oppdrettsfisk få det bedre.

Osmo-stress øker risikoen for sykdom
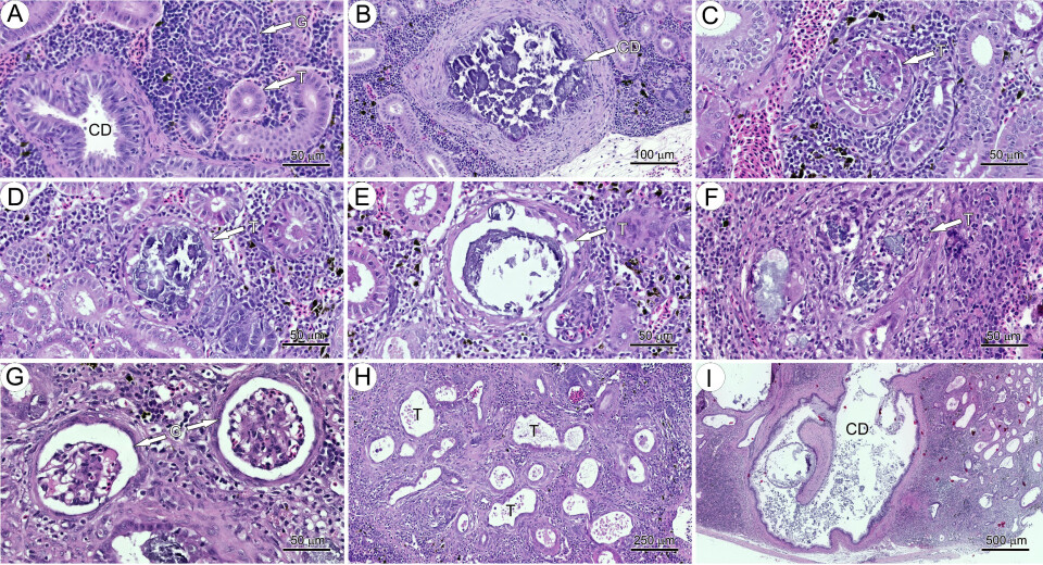
Nefrokalsinose beskrives som en utfelling av mineralsalter i nyrene. I seg selv er ikke dette direkte dødelig, men tilstanden ser ut til å forstyrre nyrefunksjonen. Nedsatt nyrefunksjon fører til redusert helse og dårligere fiskevelferd, og gjør fisken mer utsatt for sykdom og død.
Nefrokalsinose er så vidt vi vet ikke vanlig hos villfisk, og det er store variasjoner i hvor utbredt det er i norske settefiskanlegg. Derfor er det en felles forståelse blant næringsaktører, fiskehelsepersonell og forskningsmiljø at nefrokalsinose oppstår som en konsekvens av miljøet heller enn av genetikk.
- Hovedmålet i oppgaven var todelt; først å kartlegge utbredelsen og alvorlighetsgraden av nefrokalsinose hos oppdrettslaks, for deretter å se på helse- og velferdseffekter av produksjonslidelsen, forklarer Klykken. – Siden tidligere studier og erfaringer fra næringa har pekt på karmiljøet som en risikofaktor for nefrokalsinose, var det viktig å undersøke i hvilken grad tilstanden var knyttet til ulike miljøfaktorer.
Hoved-risikofaktoren som ble avdekket av Klykken og teamet, var osmoregulatorisk stress; et resultat av at fisken har problemer med å opprettholde riktig balanse av væske og salter i kroppen. Osmoregulatorisk stress hos fisk kan forårsakes av ulike miljøfaktorer; for eksempel for tidlig eksponering av saltholdig vann, brå endringer i vannkjemien og kronisk eksponering for suboptimal vannkvalitet og eksponering for sjøvann på et tidspunkt der laksen er tilpasset et ferskvannsmiljø.
Sårbare faser i produksjonen
Et viktig funn i doktorgradsarbeidet er variasjon av både forekomst og utvikling gjennom produksjon hos ulike næringsaktører. Dette tyder på at det kan være flere ulike faktorer som gir nefrokalsinose selv om tilsetting av sjøvann i ferskvannsfasen pekte seg ut som en vesentlig risikofaktor.
- Det er viktig at lakseprodusenter følger med på utviklingen av nefrokalsinose i egne anleggene, slik at de kan identifisere hvor i produksjonen det er økt risiko for at nefrokalsinose oppstår og øker i forekomst, sier Klykken.
Typisk sårbare faser i produksjonen er følgende:
- flytting av fisk mellom ulike avdelinger, med påfølgende endringer i vannkvalitet; spesielt flytting mellom RAS- og gjenomstrømmingsavdelinger
- vaksinasjon eller andre håndteringsprosedyrer som stresser fisken
- endringer i saltholdighet
- innføring av saltfôr
- Siden brå endringer i vannionkonsentrasjonen forårsaker osmoregulatorisk stress hos fisk, er det viktig å unngå store variasjoner i vannkvalitet, forklarer Klykken. – Men kanskje enda viktigere er det at slikt stress ikke blir for langvarig eller gjentas for mange ganger, siden det er summen av stress som ser ut til å være viktig for utvikling av nefrokalsinose.
Flere aktører har allerede satt i gang eller gjennomført overvåkning av nefrokalsinose i produksjonen for nettopp å avdekke risikofaser i egen produksjon. Dette har ført til at man kan finne de mest hensiktsmessige tiltakene og sette inn for å forebygge eller motvirke nefrokalsinose. Erfaringene fra disse kartleggingene viser at det finnes flere tiltak som kan være aktuelle for næringa å teste ut.
Veien videre
Lakseoppdrettsnæringen i Norge rangerer nefrokalsinose som en av de viktigste årsaker til redusert velferd hos laks, og det er stor interesse og utålmodighet for å få effektive tiltak.
- Det er derfor svært gledelig at FHF har lyst ut midler til videre forskning på temaet, sier Klykken.
Det er allerede flere prosjekter i gang, og nye på trappene, som jobber videre med problemstillingen nefrokalsinose. Dette vil bidra til både å forstå mekanismene bak nefrokalsinose, men også til å avdekke ulike tiltak som kan testes ut av næringa.
- Jeg mener det er flere ulike tiltak som kan være relevante for næringa å teste ut, og jeg bistår gjerne med erfaringene og kompetansen min om noen skulle ønske det, avslutter Klykken. – Det er oppløftende at det er stor vilje til endring og tilpasning i næringa for å få bukt med denne produksjonslidelsen.
Her kan du laste ned doktorgradsavhandlingen til Klykken
Les flere artikler om nefrokalsinose
-
– Nefrokalsinose er mer utbredt enn vi trodde
-
Dokumentert: CO₂ er en årsak til nyrestein hos oppdrettsørret
-
Slik kan CO₂-endringer føre til nyrestein – og slik kan det forebygges
-
Kan diagnostisere nefrokalsinose i felt
-
Klare utfordringer med intensiv settefiskproduksjon
-
Like høy dødelighet i settefiskanlegg som ute i merdene
-
Dette viste seg å være den mest betydelige faktor for nefrokalsinose
-
Har kartlagt utbredelse av nefrokalsinose
-
Tre nye forskningsområder i senter for lukkede oppdrettsanlegg
-
Midtvinters utsett kan gi bedre fiskevelferd